
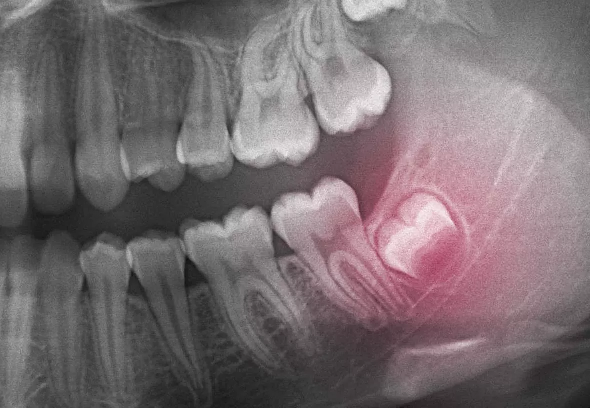
Why Do My Wisdom Teeth Need to Come Out?
Your wisdom teeth are your last adult teeth. These large molars usually emerge behind your second set of molars at the back of your mouth. However, humans have evolved to have smaller jaws, and there is often not enough room in the jaw for the wisdom teeth to emerge correctly. When this happens, they can be crooked or grow under your other teeth and damage them. Your dentist will monitor the development of your wisdom teeth and recommend their extraction if they aren’t growing correctly.
Removal Procedure
The wisdom teeth are usually removed before they break through the gums. That means they need to be removed through surgery. Your dentist will make incisions near each tooth and then remove them. The treatment is done with a local anesthetic (freezing), and your dentist may also give you a mild sedative to help you stay relaxed during the procedure. After your wisdom teeth are removed, your dentist will close the incisions with sutures. You will need to return to your dentist’s office in about a week to have the sutures removed.

Frequently Asked Questions
What happens if I get dry sockets after my wisdom teeth are removed?
A dry socket can occur when a blood clot fails to form in the socket left when a tooth is extracted. This can leave the bone and nerves in the socket open to the air, which can be very painful. Talk to your dentist if you feel severe pain after your procedure.
Do wisdom teeth always need to be removed?
No. If your dentist sees that your wisdom teeth are growing straight and have enough room, they may not need to be extracted.
Where did they get the name Wisdom Teeth?
Wisdom teeth usually emerge in your late teens when you are (hopefully) wiser.